Les pathologies dentaires
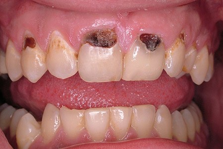
La carie
Les abcès dentaires