![]() |
![]() |
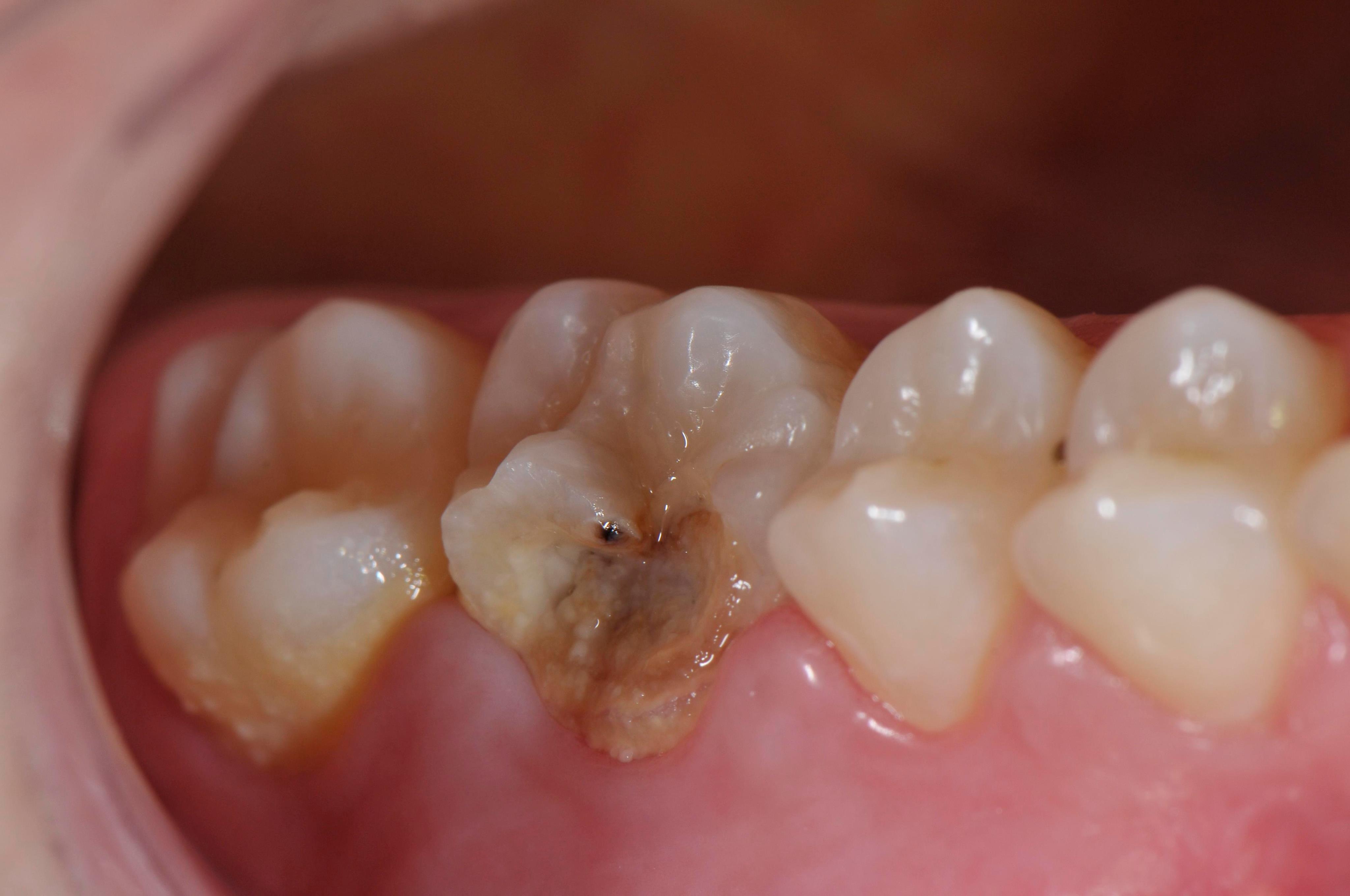
Ce que l'on voit
|
Ressenti du patient
|
|
|
|
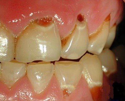
Spécificité des personnes dépendantes : Caries du collet (jonction dent/gencive)