Les abcès dentaires
Accueil
/
Pathologies dentaires
/ Les abcès dentaires
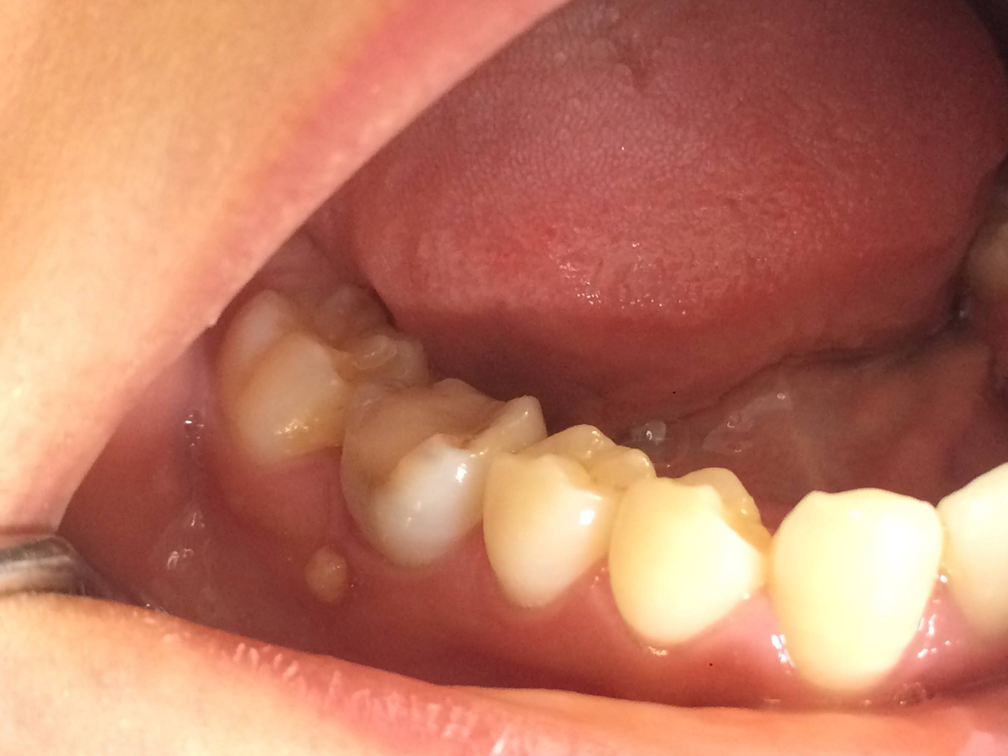
Ce que l'on voit
Gonflement sous la dent ou gonflement de la joue
Petit bouton = fistules
+ /- écoulement de pu
Erythème de la gencive périphérique
Ressenti du patient
Douleur à la mastication
Mauvais goût
Mauvaise haleine
+/- Calmé par les antalgiques
Soins
(par un dentiste)
Dévitalisation ou extraction
Pas de soins
Diffusion infection
=
Cellulite