Pathologies de la gencive
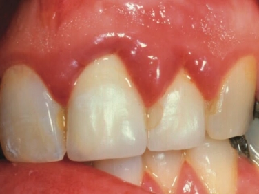
La gingivite
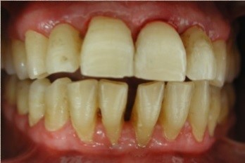
La parodontite