Les pathologies de la muqueuse buccale
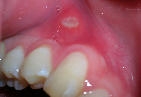
Aphtes
Lichen plan
Candidose
Lésion traumatique
Langue villeuse
Lésion vésiculaire Herpès
Perlèche
Stomatite sous prothétique